AC Artrose

DR. YVES DEPAEPE

AC ARTROSE of ACROMIO-CLAVICULAIRE ARTROSE

1. WAT

Het AC gewricht is het gewricht tussen acromion (schouderdak, deel van het schouderblad) en het sleutelbeen (clavicula). De gewrichtsuiteinden zijn bedekt met kraakbeen en ertussen bevindt zich een soort meniscus (kraakbeen schijfje).

Beide beenderige uitsteeksels zijn sterk met elkaar verbonden door een stevig kapsel (acromio-claviculaire ligamenten).

Bij verouderen kan een slijtage ontstaan van het gewricht. Het kraakbeen slijt af, de botuiteinden gaan tegen elkaar wrijven en geven uiteindelijk pijnklachten. Vaak gaat dit gepaard met het ontstaan van papegaaienbekken (osteofyten) aan de onderzijde van het gewricht. Deze papegaaienbekken gaan duwen op de onderliggende schouderpees en op die manier een soort inklemming veroorzaken.

Anatomie van het acromio-claviculair gewricht AC-gewricht met arthrose - kraakbeenslijtage

2. OORZAAK

  • Meestal door een vorderende slijtage van het gewrichtje.

  • Bij langdurige fysieke belasting (bv. jarenlang zwaar fysiek werk boven schouderniveau of jarenlang power lifting) kan het slijtage proces sterk versneld worden of kan er een soort ontkalking optreden van het uiteinde van het sleutelbeen (osteolysis).

  • De artrose kan ook ontstaan enige tijd na een accident of een val op de schouder (post-traumatische artrose).

Klinisch beeld van AC-artrose - zwelling bovenop schouder

3. KLACHTEN

  • Pijn bovenop de schouder, meestal is deze plaats vrij correct aan te duiden. De pijn kan uitstralen naar de nek of de bovenarm. De pijn wordt meestal intenser door het tillen van lasten boven schouderhoogte of door de pijnlijke arm naar de andere schouder te brengen. Liggen op de aangetaste schouder is vaak zeer pijnlijk.

  • Zwelling bovenop de schouder door ontsteking of papegaaienbekken.

  • Klikkend geluid bovenop de schouder bij bewegen van de arm.

4. ONDERZOEKEN EN DIAGNOSE

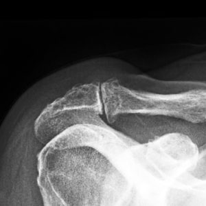
Op basis van het verhaal is er vaak al een sterk vermoeden van de diagnose. Bij klinisch onderzoek van de arts is het gewrichtje meestal sterk drukgevoelig. Ook specifieke testen zijn pijnlijk. Klassieke radiografie geeft een idee van de graad van slijtage en de grootte van de papegaaienbekken. Arthro-Ct scan gebeurt soms om ook andere bronnen van schouder pijn op te sporen. Soms is een botscan nodig om de correcte diagnose te kunnen stellen (bv. indien er ook nek afwijkingen aanwezig zijn).

Klinische test voor AC-gewrichtsartrose Röntgenfoto van AC-artrose

5. BEHANDELING

Bij beginnende klachten wordt er steeds een niet-operatieve behandeling geprobeerd.

NIET OPERATIEVE BEHANDELING
  • Rust, vermijden van de handelingen die pijn uitlokken en vermijden van zware belasting: geen zware lasten tillen boven het hoofd.

  • Ontstekingsremmende medicatie.

  • Kinesitherapie met focus op herstel van de beweeglijkheid, wegwerken van het ontstekingsproces, aanleren van stretching oefeningen en aanleren van spieropbouwende oefeningen.

  • Inspuiting. Meestal wordt gekozen voor een cortisone preparaat om het ontstekingsproces onder controle te krijgen. Dit kan een tweetal keer herhaald worden.

Bij een groot deel van de patiënten volstaat de niet-operatieve behandeling. Bij blijvende niet oplosbare klachten of bij snel terugkerende klachten dient een kijkoperatie overwogen te worden.

OPERATIEVE BEHANDELING = AC resectie, mumford operatie

Via kijkoperatie wordt een volledige inspectie gedaan van het schouder gewricht om andere oorzaken van schouderpijn uit te sluiten. Steeds wordt de subacromiale ruimte groter gemaakt (=subacromiale decompressie) en worden alle papegaaienbekken verwijderd. Nadien wordt een stukje van het aangetaste, kapotte kraakbeen uiteinde van het sleutelbeen verwijderd. De ruimte die ontstaat aan het uiteinde van het sleutelbeen vult zich spontaan op met littekenweefsel.

Arthroscopische AC-gewricht resectie Distale clavicula excisie bij AC-artrose
NARCOSE EN ZIEKENHUISVERBLIJF

De kijkoperatie gebeurt onder korte algemene narcose in combinatie met een lokale verdoving (interscaleen blok).

Na de ingreep verblijft u 1 nacht in het ziekenhuis.

6. COMPLICATIES

  • De frequentste complicatie is het ontstaan van een frozen shoulder (capsulitis of kapsel ontsteking). Dit wordt preventief aangepakt door snel oefentherapie te starten.

  • Bij het uitvoeren van een te grote resectie kan een instabiliteit van het sleutelbeen ontstaan.

  • Infectie, thromboflebitis of schade aan bloedvat of zenuw zijn theoretische complicaties maar in werkelijkheid zo goed als onbestaande.

7. REVALIDATIE

Om een frozen shoulder te voorkomen wordt snel met oefentherapie en/of kinesitherapie gestart.

De eerste oefeningen worden in het ziekenhuis aangeleerd.

Er wordt bijkomend een schema meegegeven om kinesitherapie te starten.

Gedurende de eerste 3 weken moet gebruik gemaakt worden van een draagverband ter controle van pijn en zwelling. Nadien streven we ernaar de arm zo snel als mogelijk binnen de pijngrens te gebruiken zonder verband. De eerste 6 weken mag er absoluut geen zware belasting zijn. We proberen wel alle krachtinspanningen te beperken gedurende de eerste 3 maanden.

8. WEETJES

  • Probeer de pijn onder controle te houden met de voorgeschreven pijnstillers en ijsapplicaties.

  • Hou de wondjes proper en droog. Douchen is toegestaan met een douche pleister ( opsite, tegaderm, ..) De hechtingen kunnen na 14 dagen verwijderd worden door de thuisverpleging of uw huisarts.

  • Arbeidsongeschiktheid ligt tussen 3 weken en 4 maanden en is afhankelijk van de inhoud van de job. Bespreek dit voor de ingreep met uw arts.

  • Autorijden. U mag beginnen autorijden wanneer u zelf voelt dat u gemakkelijk kan sturen met beide handen zonder enig probleem. Hiervoor zou u uw arm comfortabel boven schouderniveau moeten kunnen heffen. Voor de meeste mensen is dit ongeveer drie à vier weken na de ingreep.

  • Sporthervatting. Lopen en fietsen is toegestaan vanaf 3 weken als de eerste pijn en zwelling verdwenen zijn. Hervatten van andere sporten is individueel verschillend en sterk sportspecifiek. Dit kan besproken worden met uw behandeld arts.

Veelgestelde vragen

AC-artrose is slijtage van het acromio-claviculair gewricht, het gewricht tussen het sleutelbeen en het schouderdak. Dit veroorzaakt pijn bovenop de schouder, vooral bij het heffen van de arm boven schouderhoogte.

De behandeling start meestal conservatief met pijnstillers, infiltraties en kinesitherapie. Als deze behandelingen onvoldoende resultaat geven, kan een arthroscopische resectie van het uiteinde van het sleutelbeen (resectie van Mumford) uitgevoerd worden.

Na een arthroscopische resectie duurt de revalidatie doorgaans 6 tot 12 weken. De meeste patienten kunnen na 3 maanden hun dagelijkse activiteiten hervatten.
Dr. Yves Depaepe - Orthopedisch chirurg
Dr. Yves Depaepe
Orthopedisch chirurg – AZ Jan Palfijn Gent
Gespecialiseerd in schouder- en kniechirurgie

De informatie op deze pagina is opgesteld door Dr. Yves Depaepe en is bedoeld als algemene medische voorlichting. Raadpleeg altijd uw arts voor een persoonlijk behandelplan.