Peesverkalking : calcificatie

DR. DEPAEPE

1. WAT

Het betreft een afzetting van calciumkristallen in één of meerdere pezen van de rotator-cuff. Deze kalkafzetting is eerder zacht (zoals tandpasta) en ziet er wit uit op radiografie. De rotator cuff is de meest aangetaste pees waar kalk zich neerzet. Niet iedereen met kalkafzetting in de schouder is zich daar bewust van of ervaart klachten.

In sommige gevallen heeft het lichaam de mogelijkheid om het kalkdepot op te lossen (oplossingsfase), in andere gevallen blijft het ontstekingsproces bestaan zonder oplossing van de kalk.

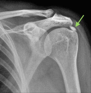
Kalkdepot in de schouderpees

2. OORZAAK

De oorzaak is zeer slecht gekend. Verkalkingen ontstaan voornamelijk in zones van de pees met verminderde bloedtoevoer. Ook genetische factoren spelen een rol. Verkalkingen zijn geen gevolg van ongeval of voedingsgewoonten, arthrose of osteoporose.

3. KLACHTEN

Klachten variëren naargelang het stadium van de ziekte.

In de fase dat de verkalking groeit zijn er weinig klachten. Als het volume groter wordt ontstaat een klassiek inklemmings- of impingement probleem. Door het volume wordt de ruimte tussen het dak van de schouder en de pees van de schouder nauwer en ontstaat er een wrijving van de pees tegen het dak met irritatie en ontsteking tot gevolg.

De pijn situeert zich voornamelijk ter hoogte van zijkant van de bovenarm. De pijn zal toenemen bij activiteiten boven schouderniveau (bv. iets uit hoge kast halen) en bij het brengen van de hand naar de rug (endorotatie). Zeer frequent is er ook nachtelijke pijn bij liggen op schouder.

Zoals vermeld, tracht het lichaam soms de verkalking op te lossen (= oplossingsfase). De kalk zal zich vrijzetten in de slijmbeurs (tussen de rotator cuff en het schouderdak) en aanleiding geven tot zeer acute pijn met zeer sterke limitatie van de beweeglijkheid.

4. ONDERZOEKEN EN DIAGNOSE

  • Het vermoeden van de verkalking wordt weerhouden tijdens het onderzoek bij uw arts.
  • Een röntgenfoto toont duidelijk de grote verkalkingen.
  • Echografie toont duidelijk de grote en kleinere (microcalcificaties) verkalkingen.
  • Een arthro-CT toont de calcificatie in een 3D-volume en geeft bovendien meer informatie over intactheid van de pees.
  • Arthro-MRI is een goed onderzoek om andere oorzaken van de pijn uit te sluiten maar brengt de verkalking zelf minder goed in beeld.
Calcificerende tendinitis van de schouder

5. BEHANDELING

Het verloop van een verkalking is zeer onvoorspelbaar. Soms zien we ook een spontaan verdwijnen van het kalkdepot, meestal gepaard gaande met een hevige pijn opstoot (oplossingsfase).

NIET OPERATIEVE BEHANDELING
  • Behandeling van de symptomen door relatieve rust, inname van pijnstillers en ontstekingsremmers.
  • Als dit onvoldoende is, kunnen een 2-tal cortisone-infiltraties worden toegediend, vooral met het oogpunt om de ontsteking te doen verdwijnen. Deze infiltraties hebben zeker hun nut in de acute, pijnlijke fase (oplossingsfase). Beperking tot 2 tal infiltraties zal ervoor zorgen dat er geen nadelige effecten zijn op bot of pezen.
  • Ondersteunend kan ook kinesitherapie gevolgd worden, vnl. ontstekingsremmende kinesitherapie en kinesitherapie ter onderhoud van de beweeglijkheid.
  • Needling: vnl. door radiologen uitgevoerd, in België minder populair. Het kalk depot wordt onder locale verdoving aangeprikt onder radioscopische controle. Men hoopt om een deel kalk te verwijderen en bijkomend wordt er een verhoogde doorbloeding gecreëerd rond de verkalking.
  • ESWT: extracorporele shock wave therapie. Deze techniek is ontstaan naar analogie met de niersteenverbrijzelaar. De techniek maakt gebruik van gerichte geluidsgolven. Evenwel wordt de verkalking hier niet “verbrijzeld” (het gaat immers om een zachte structuur, zoals tandpasta). Vooral de bloedvoorziening in de omliggende weefsels wordt gestimuleerd zodat er een beter ontstekingsremmend effect ontstaat en de eventuele oplossingsfase kan versneld worden. Deze behandeling is niet pijnloos en gebeurt best onder locale verdoving. In praktijk merken we dat maximaal 50% van de patiënten baat hebben na ESWT-behandeling. ESWT is niet te adviseren kort na injectie met corticoïden, bij aanwezig osteosynthesemateriaal, bij een pacemaker, bij stollingsproblemen,…
Extracorporele schokgolftherapie (ESWT) voor peesverkalking ESWT behandeling principe bij schouderverkalking
OPERATIEVE BEHANDELING – ARTHROSCOPIE

Bij falen van voorafgaande therapie of bij te veel pijn, dient een kijkoperatie te worden uitgevoerd.

De meest frequente manier om calciumdepots te verwijderen is via arthroscopie (kijkoperatie). De ingreep gebeurt onder korte algemene narcose, vaak in combinatie met locale anesthesie (interscaleen blok).

Met de camera wordt de kalk opgespoord, aangeprikt met naald en vervolgens wordt de pees oppervlakkig ingesneden zodat de kalk naar buiten kan uitgespoeld worden (zoals het leegduwen van een abces/zweer) en de pees kan uitgekrabd worden (curettage). Nadien wordt de ontstoken slijmbeurs weggenomen en wordt een “decompressie” uitgevoerd: enkele millimeter bot worden weggenomen met een freesje aan de onderzijde van het acromion (dak van de schouder) om de gezwollen pees meer ruimte te geven.

Het grote voordeel om de ingreep via kijkoperatie uit te voeren is dat indien er terzelfder tijd andere letsels worden gedetecteerd, deze in dezelfde ingreep kunnen behandeld worden.

Arthroscopische verwijdering van kalkdepot in schouder

6. COMPLICATIES NA INGREEP

Er zijn weinig specifieke complicaties bij deze ingreep.

De frequentste complicatie is het ontstaan van een frozen shoulder (capsulitis- kapsel ontsteking).

Dit wordt preventief aangepakt door snelle oefentherapie te starten.

7. REVALIDATIE NA INGREEP

Om een frozen shoulder te voorkomen wordt snel met oefentherapie en/of kinesitherapie gestart.

De eerste oefeningen worden in het ziekenhuis aangeleerd.

Beeldvorming van peesverkalking in de schouder

Er wordt bijkomend een schema meegegeven om kinesitherapie te starten.

Enkel gedurende de eerste 3 weken kan gebruik gemaakt worden van een draagverband bij pijn.

Adductie sling voor schouderimmobilisatie na operatie

We streven ernaar de arm zo snel als mogelijk binnen de pijngrens te gebruiken zonder verband.

De totale herstelduur ligt tussen de 6 en 12 weken en is voornamelijk afhankelijk van de grootte van het kalkdepot. De overgebleven holte moet immers dichtgroeien met litteken.

De arbeidsongeschiktheid zal afhankelijk zijn van het beroep en ligt tussen de 1 en 4 maanden.

8. WEETJES

  • Probeer de pijn onder controle te houden met de voorgeschreven pijnstillers en ijsapplicaties.
  • Hou de wondjes proper en droog. Douchen is toegestaan met een douche pleister (opsite, tegaderm, ..). De hechtingen kunnen na 14 dagen verwijderd worden door de thuisverpleging of uw huisarts.
  • Arbeidsongeschiktheid ligt tussen 2 weken en 3 maanden en is afhankelijk van de inhoud van de job. Bespreek dit voor ingreep met uw arts.
  • Autorijden. U mag beginnen autorijden wanneer u zelf voelt dat u gemakkelijk kan sturen met beide handen zonder enig probleem. Hiervoor zou u uw arm comfortabel boven schouderniveau moeten kunnen heffen. Voor de meeste mensen is dit ongeveer vier weken na de ingreep.
  • Sporthervatting. Lopen en fietsen is toegestaan vanaf 3 weken als de eerste pijn en zwelling verdwenen zijn. Hervatten van andere sporten is individueel verschillend en sterk sportspecifiek. Dit kan besproken worden met uw behandeld arts.

Veelgestelde vragen

Een peesverkalking (tendinitis calcarea) is een kalkneerslag in de pezen van de rotator cuff, meestal in de supraspinatus pees. Dit kan erg pijnlijk zijn, vooral wanneer de kalk spontaan oplost en een ontstekingsreactie veroorzaakt.

In veel gevallen lost de kalk spontaan op over een periode van maanden tot jaren. Dit oplossingsproces kan echter zeer pijnlijk zijn. Behandelingen zoals shockwave therapie, needling of een arthroscopische verwijdering kunnen het proces versnellen.

Bij aanhoudende klachten kan gekozen worden voor echogeleide needling (aanprikken van de kalk), shockwave therapie, of arthroscopisch verwijderen van de kalk. Deze laatste ingreep geeft doorgaans snelle klachtenvermindering.
Dr. Yves Depaepe - Orthopedisch chirurg
Dr. Yves Depaepe
Orthopedisch chirurg – AZ Jan Palfijn Gent
Gespecialiseerd in schouder- en kniechirurgie

De informatie op deze pagina is opgesteld door Dr. Yves Depaepe en is bedoeld als algemene medische voorlichting. Raadpleeg altijd uw arts voor een persoonlijk behandelplan.