Instabiliteit/ontwrichting van schoudergewricht
DR. YVES DEPAEPE
1. WAT
Het schouder gewricht is een zeer mobiel gewricht. De schouderbol en de schouderkom kunnen we vergelijken met een golfbal op een tee. De prijs die we betalen voor deze grote beweeglijkheid is “instabiliteit”.
Instabiliteit is de onmogelijkheid om de bol (humeruskop) gecentreerd te houden in de kom (glenoid). Als het gewricht instabiel is, leidt dit tot een ontwrichting (luxatie) van de schouder. Soms dreigt de schouder ook uit de kom te gaan, maar leidt dit niet tot een volledige ontwrichting (subluxatie).
Om de stabiliteit van de schouder in normale omstandigheden te garanderen beschikken we over een stevig vlies rond de schouder (kapsel) met daarin sterke verstevigingsbanden (gewrichtsbanden). Bijkomend is er een stevige opstaande, kraakbenige ring rond de kom, waar het kapsel zich op vasthecht. Tevens zorgen de rotator cuff spieren (actieve link naar anatomie) voor een bijkomende dynamische stabiliteit, waarbij de rotator cuff de bol gecentreerd houdt in de kom.
In de meerderheid van de gevallen (95%) ontwricht de kop naar voor (anterieure luxatie), in een beperkt aantal gevallen (5%) ontwricht de kop naar achter (posterieure luxatie). Als de schouder uit de kom gaat kan het labrum met het kapsel erop afscheuren van de kom (bankart letsel). Soms kan er zelfs een stukje bot van de kom mee afbreken (bony bankart letsel).
Bijkomend ontstaat er een indeuking in de bol (humeruskop) van de schouder omdat deze tijdens de ontwrichting tegen de rand van de kom (glenoid) wordt geduwd (hill sachs letsel). Bij oudere mensen kan een ontwrichting ook gepaard gaan met een scheur in de rotator cuff.
Bij het ontwrichten van de schouder kunnen er soms ook zenuwen uitgerokken worden. Dit herstel kan vaak maanden duren.
2. OORZAAK
De traumatische luxatie
De meest voorkomende oorzaak van ontwrichting is na een accident. Wanneer door een trauma voldoende krachten op het schoudergewricht komen, kan de schouder in een extreme positie worden geduwd en uit de kom worden getrokken. Een val tijdens een voetbal match kan een voorbeeld zijn.
De niet traumatische luxatie
Dit ontstaat wanneer de schouder ontwricht bij een minimale kracht zoals reiken naar een voorwerp of zich omdraaien in bed. Meestal zal deze er vanzelf of met een beetje hulp terug in springen.
Dit type luxaties komt voornamelijk voor bij personen met hyperlaxe gewrichten, bijvoorbeeld mensen die hun knieën en ellebogen kunnen overstrekken. Het stevige kapsel en de inliggende gewrichtsbanden zijn van nature “losser”.
Verworven instabiliteit
Door handelingen of sporten waarbij de schouder frequent in extreme posities wordt gebracht, worden het kapsel en de gewrichtsbanden beetje bij beetje opgerokken. Dit kan geleidelijk aan een ontwrichting doen ontstaan.
3. KLACHTEN
Bij een ontwrichting ontstaat een plotse, helse pijn en kan je de schouder niet meer bewegen. De vorm van de schouder wijzigt en ziet er “abnormaal” uit. Bij een gedeeltelijke ontwrichting (subluxatie) voelt dit meestal aan als een vage pijn, gepaard gaande met een click.
4. ONDERZOEKEN EN DIAGNOSE
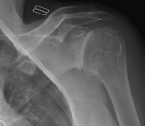
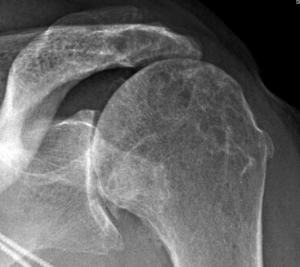
Een goed klinisch onderzoek door de arts is essentieel om de diagnose te vermoeden en op te sporen of er sprake kan zijn van begeleidende zenuw letsels. Een klassieke radiografie toont de ontwrichting en ook eventuele bijkomende letsels bv. breuken. In tweede fase en zeker bij recidiverende ontwrichtingen zal bijkomend een CT scan of MRI scan met contrast gepland worden om de schade aan het kapsel, de ligamenten en het labrum in beeld te brengen.
- Een goed klinisch onderzoek door de arts is essentieel om de diagnose te vermoeden en op te sporen of er sprake kan zijn van begeleidende zenuw letsels.
- Een klassieke radiografie toont de ontwrichting en ook eventuele bijkomende letsels bv. breuken
- In tweede fase en zeker bij recidiverende ontwrichtingen zal bijkomend een CT scan of MRI scan met contrast gepland worden om de schade aan het kapsel, de ligamenten en het labrum in beeld te brengen.
5. BEHANDELING
Op spoedopname of in het operatiekwartier wordt de schouder terug op zijn plaats gezet (reductie), wel of niet onder een lichte verdoving. Bij patiënten met een chronische, recidiverende instabiliteit, zijn zij vaak in staat om de schouder zelf terug op zijn plaats te duwen.
Na reductie zal een schouder brace worden aangelegd, meestal voor een drietal weken. In deze periode wordt er een afspraak voorzien bij uw behandeld schouderspecialist.
Als eerste behandeling is kinesitherapie noodzakelijk om de beweeglijkheid te herwinnen en voor het aanleren van spierversterkende oefeningen.
De verdere behandeling is afhankelijk van de diagnose en eventuele vastgestelde letsels op de beeldvorming. De doelstelling van verdere behandeling is de ontstane schade herstellen, maar evenzeer ervoor zorgen dat een nieuwe ontwrichting kan vermeden worden.
Indien er reeds meerdere ontwrichtingen zijn geweest is de kans groter dat er reeds schade is ontstaan in het schouder gewricht (bv. bankart letsel). Hoe jonger je was bij de eerste ontwrichting, hoe groter de kans dat er nog bijkomende ontwrichtingen volgen. Hoe meer ontwrichtingen er zijn geweest, hoe groter de kans op schade in het gewricht en hoe groter de kans op artrose op latere leeftijd. Ook je sportactiviteiten of beroepsactiviteiten kunnen je vatbaar maken voor nieuwe ontwrichtingen en kunnen beslissend zijn voor de verdere behandeling (bv. bij een rugby speler is de kans op nieuwe ontwrichting groter dan bij een loper).
NIET OPERATIEVE BEHANDELING
- Rust, schouder brace in eerste 3 weken na ontwrichting.
- Ontstekingsremmende medicatie.
- Kinesitherapie met focus op herstel van de beweeglijkheid, wegwerken van het ontstekingsproces en aanleren van spieropbouwende oefeningen.
- Bij de niet-traumatische instabiliteit en de aangeboren instabiliteit zal er noodzaak zijn tot zeer langdurig volgen van kinesitherapie om voldoende spierversterking te bekomen.
Bij een groot deel van de patiënten volstaat de niet-operatieve behandeling. Bij blijvende niet oplosbare klachten of bij snel terugkerende klachten dient een kijkoperatie overwogen te worden.
OPERATIEVE BEHANDELING
Kijkoperatie: arthroscopisch bankart herstel
Tijdens de kijkoperatie wordt het afgescheurde labrum en kapsel terug vastgehecht aan het bot van de kom (glenoid) door speciale ankertjes met draad. Door deze hechting worden de gewrichtsbanden ook terug aangespannen. Deze ankertjes hoeven niet meer verwijderd te worden.
Indien de “indeuking” in de kop van de bovenarm (hill sachs letsel) te groot is wordt er als extra versteviging een anker in de deuk geplaatst en wordt het kapsel en een deel van de rotator cuff hierin gehecht, een zogenaamde remplissage.
Latarjet ingreep
Deze open ingreep (met insnede van 8 tal centimeter vooraan op de schouder) wordt meestal uitgevoerd als er bijkomend een stukje bot is afgebroken van de kom of als de schouder opnieuw ontwricht na een vroeger uitgevoerde kijkoperatie. In sommige gevallen wordt dit als eerste keuze operatie uitgevoerd bv. atleten in contactsporten zoals rugby, mensen met een zwaar schouder belastend beroep.
Het voorste botuitsteeksel van het schouderblad (processus coracoïdeus) wordt losgemaakt en samen met de pezen erop getransplanteerd naar de voorzijde van de kom van de schouder (glenoid). Dit stukje bot wordt vastgezet met 2 schroeven. Het stukje bot zorgt voor een groter oppervlak van de kom, de pezen die erop vastzitten zorgen voor een bijkomende stevigheid zodat de schouder niet meer uit de kom kan.
Indien na vastgroeien van het stukje bot de schroeven hinder zouden geven kunnen die schroeven verwijderd worden.
Botblok procedure
Na terugkerende ontwrichtingen naar achter na het uitvoeren van een hechting via kijkoperatie, bij botverlies na een ontwrichting naar achter of bij een terugkerende luxatie na een latarjet ingreep wordt een botblok geplaatst tegen de kom van de schouder.
Een stukje bot van 3x2cm wordt weggenomen ter hoogte van de bekkenkam en nadien vast geschroefd ter hoogte van het letsel van de kom. Op die manier wordt het oppervlak van de kom groter gemaakt.
NARCOSE EN ZIEKENHUISVERBLIJF
De kijkoperatie gebeurt onder korte algemene narcose in combinatie met een lokale verdoving (interscaleen blok). Na de ingreep verblijft u 1 nacht in het ziekenhuis.
6. COMPLICATIES
Een ingreep zonder mogelijke complicaties bestaat niet, maar globaal zijn de complicaties zeer beperkt.
Wel is de kans op blijvende stabiliteit na een correct uitgevoerde operatie nooit 100%!
- Opnieuw ontwrichten. Bij een hechting via een kijkoperatie ligt het risico rond de 15%. Vooral bij jonge patiënten betrokken in competitieve contact sporten is het risico het grootst. Bij een open latarjet ingreep ligt de kans op recidief rond de 5%.
- Infectie is bijna onbestaande bij de kijkoperatie, bij een open latarjet ingreep is er een zeer beperkt risico. Dit wordt geanticipeerd door toediening van een antibioticum tijdens ingreep.
- Verminderde beweeglijkheid. In beginfase is er steeds een verminderde mogelijkheid om de arm naar buiten te draaien (exorotatie). Dit verdwijnt spontaan met de tijd.
- Thromboflebitis of schade aan bloedvat of zenuw. zijn theoretische complicaties maar in werkelijkheid zeer weinig voorkomend.
7. REVALIDATIE
Na de operatie draagt u gedurende 4 tot 6 weken een schouder brace. Het vastgemaakte labrum en/of het bot moet terug vastgroeien aan het bot van de kom van de schouder. Dit proces neemt ongeveer een 3 tal maanden in beslag en gedurende deze periode is de schouder kwetsbaar.
De kinesitherapie gebeurt via een meegegeven schema. De timing van de start van de kinesitherapie is afhankelijk van de grootte van het letsel en de uitgevoerde operatie techniek. Vaak wordt er 2 tot 4 weken gewacht alvorens de kine dient gestart te worden. Tijdens het ziekenhuisverblijf worden oefeningen aangeleerd die u zelfstandig thuis kunt uitvoeren.
We proberen wel alle krachtinspanningen te beperken gedurende de eerste 3 maanden.
Globaal is de snelheid van revalidatie van een Latarjet ingreep iets sneller dan een arthroscopisch bankart herstel.
8. WEETJES
- Probeer de pijn onder controle te houden met de voorgeschreven pijnstillers en ijsapplicaties.
- Hou de wondjes proper en droog. Douchen is toegestaan met een douche pleister (opsite, tegaderm, ..) De hechtingen kunnen na 14 dagen verwijderd worden door de thuisverpleging of uw huisarts.
- Arbeidsongeschiktheid. ligt tussen de 6 weken en 4 maanden en is afhankelijk van de inhoud van de job. Bespreek dit voor ingreep met uw arts.
- Autorijden. U mag beginnen autorijden wanneer u zelf voelt dat u gemakkelijk kan sturen met beide handen zonder enig probleem. Hiervoor zou u uw arm comfortabel boven schouderniveau moeten kunnen heffen. Voor de meeste mensen is dit ongeveer 6 tot 8 weken na de ingreep.
- Sporthervatting. Uw kinesitherapeut en chirurg zullen u adviseren wanneer het veilig is om uw hobby’s weer te hervatten. Dit zal afhangen van het type sport en van het niveau waarop u deze sport beoefent.
- Week 1 tot 6: geen sport, enkel onderhoudende cardiotraining kan toegestaan worden (bv. hometrainer of loopband).
- Week 6 tot 16: lopen, fietsen en zwemmen (eerst schoolslag) kunnen gradueel opgebouwd worden binnen de pijngrens.
- Week 16 tot 24: sportspecifieke training voor contact sport en balsport kan aangevat worden.
- Vanaf 6 maanden na de ingreep kan een terugkeer naar de competitie gepland worden.